Ειδικευθείς στην Περιοδοντολογία
  και τα Οδοντικά Εμφυτεύματα
       Αισθητική Οδοντιατρική
ΑΡΧΙΚΗ ΒΙΟΓΡΑΦΙΚΟ ΥΠΗΡΕΣΙΕΣ ΦΩΤΟΓΡΑΦΙΕΣ VIDEOS ΕΠΙΚΟΙΝΩΝΙΑ
Θεοχάρης  Διακενισάκης
Χειρουργός Οδοντίατρος

Ζωγράφου 11,  71201,  Ηράκλειο  Κρήτης,   τηλ: 2810 289577-6944 553890   teocharis@hotmail.gr    

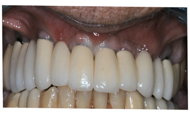
ΓΕΦΥΡΑ  ΜΕΤΑΛΛΟΠΟΡΣΕΛΑΝΗΣ   ΠΑΝΩ   ΣΕ  6  ΕΜΦΥΤΕΥΜΑΤΑ, 65  ΕΤΩΝ

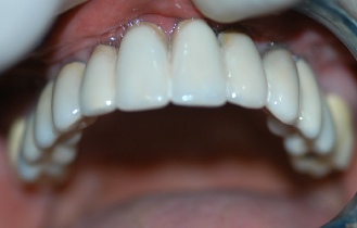
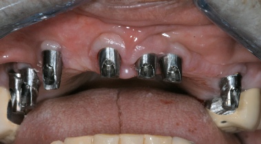
ΓΕΦΥΡΑ  ΜΕΤΑΛΛΟΠΟΡΣΕΛΑΝΗΣ  SINTERING, ΣΕ  7  ΑΜΕΣΑ  ΕΜΦΥΤΕΥΜΑΤΑ,   70  ΕΤΩΝ

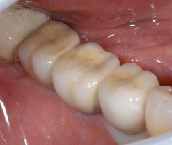
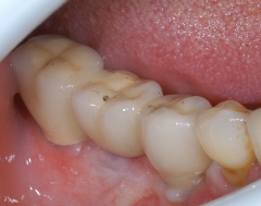
ΣΤΕΦΑΝΕΣ   ΠΟΡΣΕΛΑΝΗΣ ΜΕ LASER SINTERING  ΕΠΙ  3  ΕΜΦΥΤΕΥΜΑΤΩΝ

ΣΤΕΦΑΝΕΣ   ΠΟΡΣΕΛΑΝΗΣ  ΕΠΙ  3  ΕΜΦΥΤΕΥΜΑΤΩΝ

επόμενη επόμενη