Ειδικευθείς στην Περιοδοντολογία
  και τα Οδοντικά Εμφυτεύματα
       Αισθητική Οδοντιατρική
ΑΡΧΙΚΗ ΒΙΟΓΡΑΦΙΚΟ ΥΠΗΡΕΣΙΕΣ ΦΩΤΟΓΡΑΦΙΕΣ VIDEOS ΕΠΙΚΟΙΝΩΝΙΑ
Θεοχάρης  Διακενισάκης
Χειρουργός Οδοντίατρος

Ζωγράφου 11,  71201,  Ηράκλειο  Κρήτης,   τηλ: 2810 289577-6944 553890   teocharis@hotmail.gr    

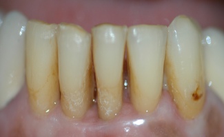
ΟΨΕΙΣ ΠΟΡΣΕΛΑΝΗΣ  Ε-max

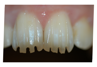
ΟΨΕΙΣ  ΠΟΡΣΕΛΑΝΗΣ  Ε-max

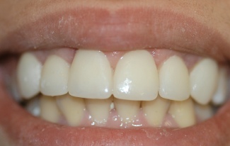
ΟΨΕΙΣ  ΠΟΡΣΕΛΑΝΗΣ   Ε-max   και  ΣΤΕΦΑΝΗ  ΖΙΡΚΟΝΙΟΥ

ΠΡΙΝ

ΜΕΤΑ

ΠΡΙΝ

ΠΡΙΝ

ΜΕΤΑ

ΜΕΤΑ