Ειδικευθείς στην Περιοδοντολογία
  και τα Οδοντικά Εμφυτεύματα
       Αισθητική Οδοντιατρική
ΑΡΧΙΚΗ ΒΙΟΓΡΑΦΙΚΟ ΥΠΗΡΕΣΙΕΣ ΦΩΤΟΓΡΑΦΙΕΣ VIDEOS ΕΠΙΚΟΙΝΩΝΙΑ
Θεοχάρης  Διακενισάκης
Χειρουργός Οδοντίατρος

Ζωγράφου 11,  71201,  Ηράκλειο  Κρήτης,   τηλ: 2810 289577-6944 553890   teocharis@hotmail.gr    

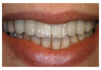
ΓΕΦΥΡΑ   ΖΙΡΚΟΝΙΟΥ

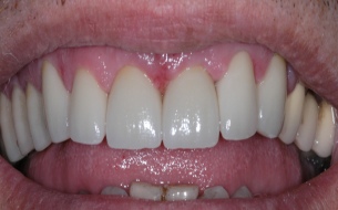
ΣΤΕΦΑΝΕΣ   ΖΙΡΚΟΝΙΟΥ

         ΠΡΙΝ                                         ΙΑΤΡΕΙΟ                                1 ΜΗΝΑΣ

ΠΡΙΝ

ΜΕΤΑ