Ειδικευθείς στην Περιοδοντολογία
  και τα Οδοντικά Εμφυτεύματα
       Αισθητική Οδοντιατρική
ΑΡΧΙΚΗ ΒΙΟΓΡΑΦΙΚΟ ΥΠΗΡΕΣΙΕΣ ΦΩΤΟΓΡΑΦΙΕΣ VIDEOS ΕΠΙΚΟΙΝΩΝΙΑ
Θεοχάρης  Διακενισάκης
Χειρουργός Οδοντίατρος

Ζωγράφου 11,  71201,  Ηράκλειο  Κρήτης,   τηλ: 2810 289577-6944 553890   teocharis@hotmail.gr    

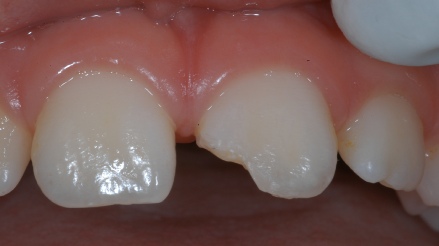
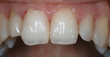
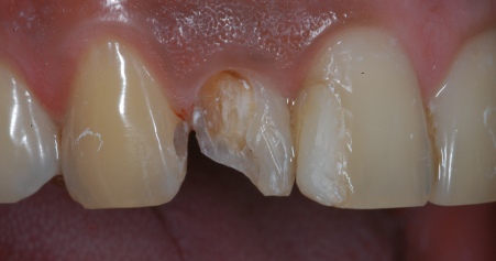
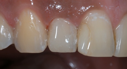
ΑΜΕΣΗ  ΑΠΟΚΑΤΑΣΤΑΣΗ  ΚΑΤΑΓΜΑΤΟΣ  ΜΕ ΣΥΝΘΕΤΗ  ΡΗΤΙΝΗ  (ΛΕΥΚΟ ΣΦΡΑΓΙΣΜΑ)

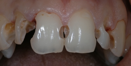
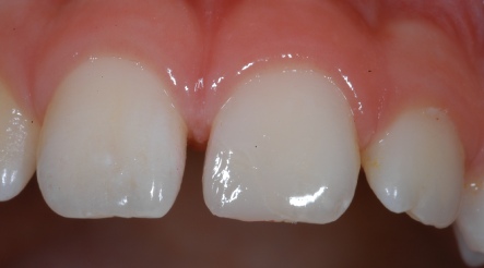
ΕΜΦΡΑΞΕΙΣ ΣΥΝΘΕΤΗΣ ΡΗΤΙΝΗΣ  (ΛΕΥΚΑ ΣΦΡΑΓΙΣΜΑΤΑ)

ΔΙΕΥΘΕΤΗΣΗ  ΟΥΛΙΚΟΥ  ΧΑΜΟΓΕΛΟΥ  ΚΑΙ  ΡΗΤΙΝΕΣ (BONDING)

ΠΡΙΝ

ΜΕΤΑ

ΠΡΙΝ

ΠΡΙΝ

ΠΡΙΝ

ΜΕΤΑ

ΜΕΤΑ

ΜΕΤΑ