Ειδικευθείς στην Περιοδοντολογία
  και τα Οδοντικά Εμφυτεύματα
       Αισθητική Οδοντιατρική
ΑΡΧΙΚΗ ΒΙΟΓΡΑΦΙΚΟ ΥΠΗΡΕΣΙΕΣ ΦΩΤΟΓΡΑΦΙΕΣ VIDEOS ΕΠΙΚΟΙΝΩΝΙΑ
Θεοχάρης  Διακενισάκης
Χειρουργός Οδοντίατρος

Ζωγράφου 11,  71201,  Ηράκλειο  Κρήτης,   τηλ: 2810 289577-6944 553890   teocharis@hotmail.gr    

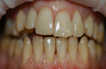
ΛΕΥΚΑΝΣΗ ΣΕ ΠΟΛΥ ΚΙΤΡΙΝΑ ΔΟΝΤΙΑ  ΜΕ ΤΗ ΒΟΗΘΕΙΑ ΤΗΣ ΕΙΔΙΚΗΣ ΛΑΜΠΑΣ, ΑΥΞΗΣΗ 6 ΒΑΘΜΟΥΣ ΧΡΩΜΑΤΟΣ

ΛΕΥΚΑΝΣΗ  ΣΕ 30΄

 

ΠΡΙΝ

ΜΕΤΑ

ΜΕΤΑ

ΠΡΙΝ