Ειδικευθείς στην Περιοδοντολογία
  και τα Οδοντικά Εμφυτεύματα
       Αισθητική Οδοντιατρική
ΑΡΧΙΚΗ ΒΙΟΓΡΑΦΙΚΟ ΥΠΗΡΕΣΙΕΣ ΦΩΤΟΓΡΑΦΙΕΣ VIDEOS ΕΠΙΚΟΙΝΩΝΙΑ
Θεοχάρης  Διακενισάκης
Χειρουργός Οδοντίατρος

Ζωγράφου 11,  71201,  Ηράκλειο  Κρήτης,   τηλ: 2810 289577-6944 553890   teocharis@hotmail.gr    

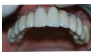
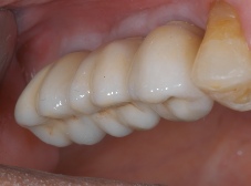
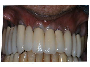
7 ΕΜΦΥΤΕΥΜΑΤΑ ΣΤΗΝ ΑΝΩ ΓΝΑΘΟ ΑΜΕΣΩΣ ΜΕΤΑ ΤΙΣ ΕΞΑΓΩΓΕΣ ΤΩΝ ΡΙΖΩΝ

3 ΕΜΦΥΤΕΥΜΑΤΑ ΣΤΗΝ ΑΝΩ ΓΝΑΘΟ ΣΤΗΝ ΠΕΡΙΟΧΗ ΤΩΝ ΓΟΜΦΙΩΝ

6 ΕΜΦΥΤΕΥΜΑΤΑ ΣΤΗΝ ΑΝΩ ΓΝΑΘΟ ΜΕ ΕΣΩΤΕΡΙΚΗ ΑΝΥΨΩΣΗ ΜΕΜΒΡΑΝΗΣ ΙΓΜΟΡΕΙΟΥ

2 ΕΜΦΥΤΕΥΜΑΤΑ ΣΕ ΑΤΡΟΦΙΚΗ ΚΑΤΩ ΓΝΑΘΟ ΓΙΑ ΟΛΙΚΗ ΟΔΟΝΤΟΣΤΟΙΧΙΑ