Ειδικευθείς στην Περιοδοντολογία
  και τα Οδοντικά Εμφυτεύματα
       Αισθητική Οδοντιατρική
ΑΡΧΙΚΗ ΒΙΟΓΡΑΦΙΚΟ ΥΠΗΡΕΣΙΕΣ ΦΩΤΟΓΡΑΦΙΕΣ VIDEOS ΕΠΙΚΟΙΝΩΝΙΑ
Θεοχάρης  Διακενισάκης
Χειρουργός Οδοντίατρος

Ζωγράφου 11,  71201,  Ηράκλειο  Κρήτης,   τηλ: 2810 289577-6944 553890   teocharis@hotmail.gr    

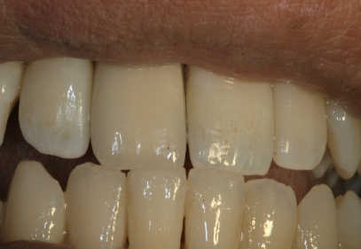
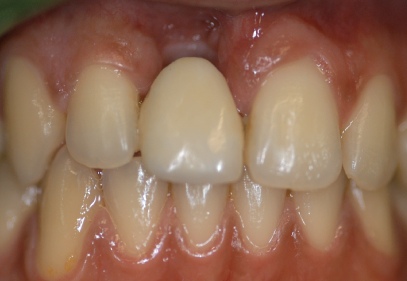
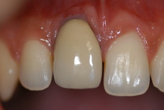
ΓΕΦΥΡΑ  ΤΥΠΟΥ  MARYLAND ( 1 ΣΤΕΦΑΝΗ  ΠΟΡΣΕΛΑΝΗΣ  ΣΕ ΟΜΟΡΑ ΔΟΝΤΙΑ)

ΓΕΦΥΡΑ MARYLAND  ΣΥΦΚΟΛΛΗΜΕΝΗ ΣΤΑ ΟΜΟΡΑ ΔΟΝΤΙΑ

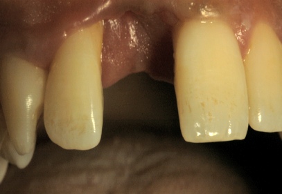
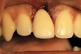
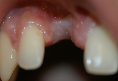
ΓΕΦΥΡΑ MARYLAND ΑΜΕΣΩΣ ΜΕΤΑ ΤΗΝ ΕΞΑΓΩΓΗ ΤΟΥ ΔΟΝΤΙΟΥ