Ειδικευθείς στην Περιοδοντολογία
  και τα Οδοντικά Εμφυτεύματα
       Αισθητική Οδοντιατρική
ΑΡΧΙΚΗ ΒΙΟΓΡΑΦΙΚΟ ΥΠΗΡΕΣΙΕΣ ΦΩΤΟΓΡΑΦΙΕΣ VIDEOS ΕΠΙΚΟΙΝΩΝΙΑ
Θεοχάρης  Διακενισάκης
Χειρουργός Οδοντίατρος

Ζωγράφου 11,  71201,  Ηράκλειο  Κρήτης,   τηλ: 2810 289577-6944 553890   teocharis@hotmail.gr    

    ΚΑΤΕΥΘΥΝΟΜΕΝΗ  ΙΣΤΙΚΗ  ΑΝΑΓΕΝΝΗΣΗ ( νέο οστό και ούλο)  ΜΕΤΑ  ΑΠΟ     ΠΕΡΙΟΔΟΝΤΙΤΙΔΑ,  ΜΕ ΤΗ  ΧΡΗΣΗ  EMDOGAIN  ΚΑΙ  ΟΣΤΙΚΟΥ ΜΟΣΧΕΥΜΑΤΟΣ

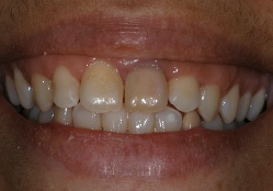
ΑΙΣΘΗΤΙΚΗ  ΧΕΙΡΟΥΡΓΙΚΗ  ΟΥΛΩΝ  ΚΑΙ  ΕΣΩΤΕΡΙΚΗ ΛΕΥΚΑΝΣΗ  ΕΝΟΣ ΔΟΝΤΙΟΥ

ΑΠΟΚΑΤΑΣΤΑΣΗ  ΟΥΛΙΚΟΥ  ΧΑΜΟΓΕΛΟΥ  ΚΑΙ  ΛΕΥΚΑΝΣΗ   15  ΜΕΡΕΣ