Ειδικευθείς στην Περιοδοντολογία
  και τα Οδοντικά Εμφυτεύματα
       Αισθητική Οδοντιατρική
ΑΡΧΙΚΗ ΒΙΟΓΡΑΦΙΚΟ ΥΠΗΡΕΣΙΕΣ ΦΩΤΟΓΡΑΦΙΕΣ VIDEOS ΕΠΙΚΟΙΝΩΝΙΑ
Θεοχάρης  Διακενισάκης
Χειρουργός Οδοντίατρος

Ζωγράφου 11,  71201,  Ηράκλειο  Κρήτης,   τηλ: 2810 289577-6944 553890   teocharis@hotmail.gr    

ΧΕΙΡΟΥΡΓΙΚΗ  ΕΞΑΓΩΓΗ  ΕΓΚΛΕΙΣΤΩΝ  ΦΡΟΝΙΜΗΤΩΝ  ΚΟΝΤΑ ΣΤΟ ΓΝΑΘΙΚΟ ΝΕΥΡΟ

ΧΕΙΡΟΥΡΓΙΚΗ ΑΠΟΚΑΛΥΨΗ ΕΓΚΛΕΙΣΤΟΥ ΚΥΝΟΔΟΝΤΑ ΓΙΑ ΟΡΘΟΔΟΝΤΙΚΗ ΕΛΞΗ

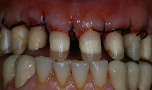
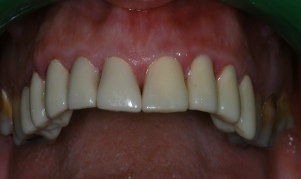
ΧΕΙΡΟΥΡΓΙΚΗ  ΠΛΑΣΤΙΚΗ  ΥΠΕΡΤΡΟΦΙΚΩΝ ΟΥΛΩΝ ΠΡΙΝ ΤΗΝ ΠΡΟΣΘΕΤΙΚΗ

ΑΚΡΟΡΡΙΖΕΚΤΟΜΗ ΚΑΙ ΑΝΑΣΤΡΟΦΗ ΕΜΦΡΑΞΗ ΣΕ ΑΠΟΝΕΥΡΩΜΕΝA  ΔΟΝΤΙA ΚΑΙ ΑΦΑΙΡΕΣΗ ΚΥΣΤΕΩΝ

ΧΕΙΡΟΥΡΓΙΚΗ ΕΠΙΜΗΚΥΝΣΗ ΜΥΛΗΣ ΔΟΝΤΙΩΝ ΠΡΙΝ ΤΗΝ ΠΡΟΣΘΕΤΙΚΗ ΑΠΟΚΑΤΑΣΤΑΣΗ

ΠΡΙΝ

ΜΕΤΑ

ΠΡΙΝ

ΜΕΤΑ