Ειδικευθείς στην Περιοδοντολογία
  και τα Οδοντικά Εμφυτεύματα
       Αισθητική Οδοντιατρική
ΑΡΧΙΚΗ ΒΙΟΓΡΑΦΙΚΟ ΥΠΗΡΕΣΙΕΣ ΦΩΤΟΓΡΑΦΙΕΣ VIDEOS ΕΠΙΚΟΙΝΩΝΙΑ
Θεοχάρης  Διακενισάκης
Χειρουργός Οδοντίατρος

Ζωγράφου 11,  71201,  Ηράκλειο  Κρήτης,   τηλ: 2810 289577-6944 553890   teocharis@hotmail.gr    

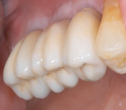
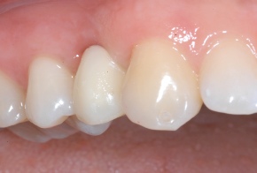
ΑΝΥΨΩΣΗ  ΙΓΜΟΡΕΙΟΥ  ΜΕ  ΟΣΤΙΚΟ  ΜΟΣΧΕΥΜΑ  ΚΑΙ  3  ΣΤΕΦΑΝΕΣ  ΠΟΡΣΕΛΑΝΗΣ

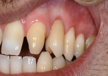
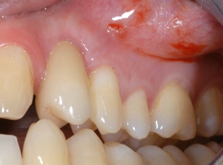
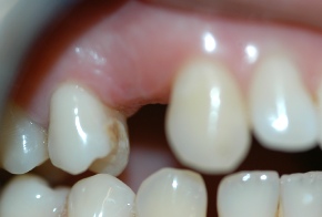
ΣΤΕΦΑΝΗ  ΟΛΟΚΕΡΑΜΙΚΗ  ΕΠΙ  ΕΜΦΥΤΕΥΜΑΤΟΣ  ΚΑΙ  ΧΕΙΡΟΥΡΓΙΚΗ  ΠΛΑΣΤΙΚΗ  ΟΜΟΡΩΝ  ΟΥΛΩΝ

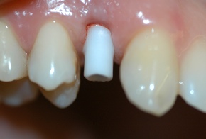
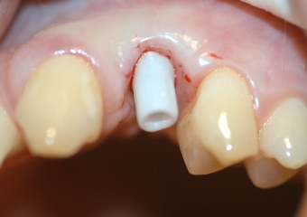
ΣΤΕΦΑΝΗ  ΟΛΟΚΕΡΑΜΙΚΗ e-max  ΕΠΙ  ΕΜΦΥΤΕΥΜΑΤΟΣ

προηγούμενη